Borderline Ovarian Tumors - Webpathology.com: A Collection of Surgical Pathology Images / Jump to abstracts focused research topics.

Borderline Ovarian Tumors - Webpathology.com: A Collection of Surgical Pathology Images / Jump to abstracts focused research topics.. A smaller number have a different appearance and are called mucinous. Surgical management of borderline ovarian tumours. Defined, nonobligate precursor to low. It was not until 1971 that the category. Borderline tumors of the ovary:

Borderline ovarian tumours generally affect women of reproductive age. Borderline ovarian tumors are staged according to the figo classification of ovarian cancer. Borderline ovarian tumors are classified between benign cystadenoma and malignant cystadenocarcinoma. They are different to ovarian cancer because they don't grow into the supportive tissue of the ovary (the stroma). Tumor of low malignant potential (lmp tumor).

File:Microinvasion in a borderline serous tumor of the ...
File:Microinvasion in a borderline serous tumor of the ... from upload.wikimedia.org
Tumor of low malignant potential,proliferative cystadenoma. Small borderline tumours do not usually cause symptoms, with the mass only being discovered during a test for something else. Evaluate the management of patients with borderline ovarian tumors. The positive prognosis is related to the fact that over 80% of cases are diagnosed at an early stage of the disease. What was labeled ovarian cancer in the past may really arise from fallopian tube. An introduction to the ovary is in the ovary article, which also deals benign cysts. The role of serous borderline ovarian tumors (bots) in the pathogenesis of serous ovarian carcinomas is unclear. A histopathological term that describes an ovarian tumor of low malignant potential that expresses cytologic features of malignancy without frank invasion.

Borderline ovarian tumors (bots) are common in women in their reproductive years.

Defined, nonobligate precursor to low. What was labeled ovarian cancer in the past may really arise from fallopian tube. Since bot were first identified >40 years ago. A borderline tumor, sometimes called low malignant potential (lmp) tumor, is a distinct but yet heterogeneous group of tumors defined by their histopathology as atypical epithelial proliferation without stromal invasion. Tumor of low malignant potential,proliferative cystadenoma. Serous borderline tumors — among ovarian borderline tumors, approximately 65 to 70 percent are serous histology, and borderline tumors account for an estimated 15 to 20 percent of all ovarian. The article examines ovarian tumours including ovarian cancer. The role of serous borderline ovarian tumors (bots) in the pathogenesis of serous ovarian carcinomas is unclear. Borderline ovarian tumours generally affect women of reproductive age. Borderline tumors of the ovary: Tumor of low malignant potential (lmp tumor). 6 abstracts with ovarian borderline tumors (bots) research. They are different to ovarian cancer because they don't grow into the supportive tissue of the ovary (the stroma).

The article examines ovarian tumours including ovarian cancer. Borderline ovarian tumours generally affect women of reproductive age. Serous borderline tumors — among ovarian borderline tumors, approximately 65 to 70 percent are serous histology, and borderline tumors account for an estimated 15 to 20 percent of all ovarian. Borderline ovarian tumours (bot), i.e., tumors with a potentially low level of malignancy, belong to a single category of epithelial new formations in the international hystological classification of who. Most borderline ovarian tumours are classified as serous from their appearance under the microscope.

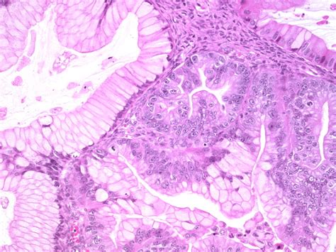
Webpathology.com: A Collection of Surgical Pathology Images
Webpathology.com: A Collection of Surgical Pathology Images from www.webpathology.com
What was labeled ovarian cancer in the past may really arise from fallopian tube. Tumor of low malignant potential,proliferative cystadenoma. Formulary drug information for this topic. A histopathological term that describes an ovarian tumor of low malignant potential that expresses cytologic features of malignancy without frank invasion. Small borderline tumours do not usually cause symptoms, with the mass only being discovered during a test for something else. Surgical management of borderline ovarian tumours. A retrospective study was conducted in 40 patients with borderline ovarian tumors treated between. Most borderline ovarian tumours are classified as serous from their appearance under the microscope.

An introduction to the ovary is in the ovary article, which also deals benign cysts.

The positive prognosis is related to the fact that over 80% of cases are diagnosed at an early stage of the disease. A smaller number have a different appearance and are called mucinous. They are characterized as malignant tumors by histopathological features. A retrospective study was conducted in 40 patients with borderline ovarian tumors treated between. Since bot were first identified >40 years ago. It was not until 1971 that the category. Ct and mri features and tumor. Evaluate the management of patients with borderline ovarian tumors. Borderline tumors fall under ovarian epithelial tumors. 6 abstracts with ovarian borderline tumors (bots) research. A borderline tumor, sometimes called low malignant potential (lmp) tumor, is a distinct but yet heterogeneous group of tumors defined by their histopathology as atypical epithelial proliferation without stromal invasion. Formulary drug information for this topic. Borderline ovarian tumours generally affect women of reproductive age.

Formulary drug information for this topic. They are different to ovarian cancer because they don't grow into the supportive tissue of the ovary (the stroma). Mdct and mri of borderline ovarian tumors original report nandita m. Tumor of low malignant potential (lmp tumor). What was labeled ovarian cancer in the past may really arise from fallopian tube.

Ovarian Cancer
Ovarian Cancer from www.brown.edu
Defined, nonobligate precursor to low. Borderline ovarian tumours generally affect women of reproductive age. Borderline ovarian tumours are abnormal cells that form in the tissue covering the ovary. 6 abstracts with ovarian borderline tumors (bots) research. The role of serous borderline ovarian tumors (bots) in the pathogenesis of serous ovarian carcinomas is unclear. Evaluate the management of patients with borderline ovarian tumors. It was not until 1971 that the category. Mdct and mri of borderline ovarian tumors original report nandita m.

The role of serous borderline ovarian tumors (bots) in the pathogenesis of serous ovarian carcinomas is unclear.

Compared to invasive epithelial ovarian cancers, bot occurs more commonly at a younger age, during the time of. Borderline ovarian tumors are a type of epithelial ovarian tumors that exhibit some characteristics of malignancy, but appear to still be early enough in their development to be treated successfully. Borderline ovarian tumors (bot) are uncommon but not rare epithelial ovarian neoplasms, intermediate between benign and malignant categories. Most borderline ovarian tumours are classified as serous from their appearance under the microscope. Mdct and mri of borderline ovarian tumors original report nandita m. It was not until 1971 that the category. An introduction to the ovary is in the ovary article, which also deals benign cysts. They tend to develop in an exophytic growth pattern, on the surface of the ovary, without invading the underlying stroma. The role of serous borderline ovarian tumors (bots) in the pathogenesis of serous ovarian carcinomas is unclear. Borderline ovarian tumors (bots) are common in women in their reproductive years. Borderline ovarian tumours (bot), i.e., tumors with a potentially low level of malignancy, belong to a single category of epithelial new formations in the international hystological classification of who. Ten to fifteen percent of epithelial ovarian tumors are considered borderline malignancies. Serous borderline tumors — among ovarian borderline tumors, approximately 65 to 70 percent are serous histology, and borderline tumors account for an estimated 15 to 20 percent of all ovarian.

They are characterized as malignant tumors by histopathological features borderline. Surgical management of borderline ovarian tumours.
Posting Komentar (0)
Lebih baru Lebih lama